+27 (049) 892 2565

Dental Services

How can we help you?

Diagnosis

The basis of all dental treatment starts with an accurate diagnosis. In order to gather all the relevant information, our dentists will perform a comprehensive examination of your mouth, teeth, gums and jaw joints.

 

It may include any of the following:

  • Intra-Oral and Extra-Oral Photos
  • Digital X-rays that may include Panoramic, Cephalometric, Intra-Oral or 3D-Xray(CBCT)
  • Taking Study models of your teeth by conventional mould taking or Digital Impressions with an Intra-oral Scanner.
  • Periodontal Screening for Gum Disease, Bone Loss and Bad Breath
  • Oral Cancer Screening
  • Evaluation of Your Jaw Joint Function

 

All the information that was collected will be used carefully to customize a treatment plan that fits best with each patients individual needs.

Diagnosis For Dental Service In South Africa

Prevention

The adage “Prevention is better than cure” also holds true for your oral health. Our team of dentists and hygienists will teach you how to prevent the most common dental problems. Should any early signs of developing problems be noticed, minimally invasive interceptive therapy can be initiated to halt progression of the problem.

  • Oral hygiene education and instructions (Brushing, flossing, use of mouthwash, etc.).  We suggest that you have your teeth and gums professionally cleaned at least once a year.
  • Fissure sealants are placed by both oral hygienists and dentists and should be done on cavity-free 6-year and 12-year molars
  • Early detection of cavities and regular x-rays
  • Periodontal screening for gum disease (Gingivitis), bone loss (Periodontitis) and bad breath (Halitosis)
  • Oral cancer screening (Tongue, cheeks and floor of the mouth are common sites)
  • Screening of your TMJ or jaw joints which is just in front of your ears. Ensuring proper function of these joints is very important to your teeth, overall health as well as your spinal vertebrae alignment.
Prevent Dental Issues South Africa

Children

Our children are the future and their oral, dental and general health matters! We encourage you to bring your little one annually from as early as 2-3 years old. This will ensure a positive experience in the dental office and help develop a good relationship with your dentist. 

Baby bottle caries syndrome / Nursing caries is the most common cause of tooth loss in children under 3 years old.  It is usually caused by liquids with natural sugars (like milk, formula and fruit juice), fizzy drinks, sweetened milk or tea in your baby’s bottle when left with your baby for extended periods and during the night. Usually only the upper front teeth are affected while the lower teeth are protected by the tongue and saliva.

Do you think your baby’s teeth are temporary and therefore not important? Think again! Baby teeth are necessary for chewing, speaking and smiling. They also serve as placeholders for the adult teeth and if lost prematurely, it will cause crowding of the permanent teeth. If decay is left untreated, pain and infection can result and the tooth may ultimately be lost.

Child Dental Services In South Africa
Prevent Cavities Child Dental In South Africa

Tips to prevent cavities:

Dilute fruit juices, drink more water, no sweetened milk or tea in bottles with child during the night, let them brush and then YOU brush

Development Of Child Dental In South Africa

Identify and treat habits

Like thumb sucking, an anterior tongue thrust and mouth-breathing early. It is important to monitor the development of your child’s upper jaw and face, especially if he/she is a mouth-breather.

Pit Fissure Sealants Dentist In South Africa

Pit & Fissure sealants

Are flowable fillings that can be placed on 6 and 12 year permanent molars to prevent food and bacteria from getting stuck in the grooves that can lead to cavities. No injection or drilling is required!

Orthopedic & Orthodontic screening
It is important to be pro-active if your child has poorly developing jaws. A small upper jaw causes crowding of teeth, tooth impactions and entraps the lower jaw too far back. This will cause chronic ear infections and the need for Grommets. It will also have a negative impact on the airway that may lead to snoring and sleep apnoea. Mouth breathing is linked to enlarged tonsils and the development of asthma, allergies, ADHD, dark circles around the eyes, bed wetting, etc.

Bleaching

Many people achieve a white, brighter smile with one of our simple non-invasive whitening procedures. Tooth whitening can boost your self confidence and improve the overall look of your smile. Dull, stained, or discoloured teeth can exaggerate the appearance of any imperfections. 


Your bleaching package will be tailor-made to suit your requirements and budget and may consist of pre-bleaching, an in-office bleach, a home bleaching kit with custom fitted trays or a combination of the above. The bleaching material we use is safe, well-researched and contains fluoride to limit sensitivity.

Teeth Bleaching Dental Service South Africa

Fillings, Inlays & Onlays

We are proud to announce that we promote metal-free dentistry for a number of reasons: 

  • Not only do metal restorations look ugly, turning teeth dark and grey, they also expand and contract with temperature changes. This can weaken and eventually fracture or break the teeth they were meant to protect
  • Amalgam fillings also contain mercury.  Mercury toxicity can lead to a number of serious, long-term health problems, including neurological damage, birth defects and an overgrowth of Candida in your gut.  This overgrowth of Candida may explain IBS, intolerances to gluten, etc. 
  • Heavy metals such as mercury are detrimental to the environment, this is another reason we choose not to place the Amalgam restorations. The residual amalgam that may have been removed during treatment is collected and disposed in an environmental friendly manner.
Dental Fillings Inlays Onlays Services In South Africa

Still under debate is the issue of whether these fillings give off enough mercury vapour to threaten your body, but most people prefer not to take the risk. Whenever a silver filling is removed, a rubber dam should be used to prevent swallowing of the metal pieces.


Teeth are restored with tooth coloured restorations/fillings. Classification of tooth coloured materials falls in two categories.

  1. Direct restoration materials which constitute Composite, Glass-Ionomer and Resin-modified Glass Ionomer, each material has their own strengths and weaknesses. These materials are shaped in your mouth. Your dentist decides on the appropriate material for each sort of cavity. Direct filling materials are generally used for conservative small cavities. Current advances in composite technology enables us to use the material more broadly. Should you have a situation that a filling keeps falling out it might be that the materials has passed its parameters and physical capabilities. This would be a good time to consider and indirect restoration.

  2. Indirect Restoration materials: When we have big cavities that need to be restored we use indirect fillings this may include inlays, onlays, full crowns and veneers. These materials are handled outside the mouth. They include indirect composite, hybrid (mix of composite and porcelain), Porcelain and Zirconia materials. Materials are chosen for each case to achieve our desired outcome whether it be strength or aesthetics. Longevity of Indirect Restoration are far superior to direct restorations.
    Whether Direct or Indirect restorations are required it is vital to choose the correct material for the designated solution. Restorations/Fillings are hugely dependent on the environment they are in, if oral hygiene is not adequate, no filling direct or indirect will survive.

Smile Make-Over

Imagine yourself taking a selfie, do you show teeth or not?

Research has found that teeth are one of the first features people notice when they come in contact with you. The appearance of unsightly, missing or crooked teeth can affect a persons’ self-confidence greatly.

A smile make-over will not only restore function but will boost your self-esteem to smile with confidence and laugh out loud.

Dental Smile Make Overs South Africa

Orthodontics

Dento-Facial Orthopedics & Orthodontics for Children and Adults
Make a Good First Impression. Smiles are a big part of our identity, how we feel about ourselves and how others perceive us.
 
"We live in a very image-conscious society and impressions are made within a few seconds. Straightening teeth makes a difference and can ultimately make or break your chances of getting certain opportunities.
— Mark Montano, host of TLC's, 10 Years Younger

Orthopedics Orthodontics For Children And Adults South Africa

Improve your Health
A nice smile is not only beautiful, it also promotes good health:

  • Straight and evenly spaced teeth are easier to keep clean, resulting in better oral health
  • Properly aligned teeth chew more efficiently, which may help digestion
  • Aligned teeth create a better bite, which may reduce stress, headaches, and strain on your supporting bone and tissue and TM Joints.
  • Developing small jaws at an early age will limit ear infections, promote nasal breathing and lead to well balanced faces.

Other benefits include:

  • Confidence to excel in school, work and personal life
  • A broader smile and enhanced facial features
  • Clearer speech for interviews, public speaking, etc

Dento-Facial Orthopedics 

This focuses on the development of both the upper and lower jaws, the face and the airway. It also looks at habits, swallowing patterns and breathing. Properly developed jaws lead to well-balanced faces and healthy airways. Children should be screened from age 4 onwards to determine the need for early interceptive therapy. This will prevent later problems in life and possibly even the need for braces. Treatment involves the use of removable or fixed oral appliances. The success of treatment relies heavily on the patient to wear these appliances full-time and is usually removed for eating and oral hygiene only. Typical treatment varies between 6 and 12 months.

Dento Facial Orthopedics Service South Africa
Clear Aligner Systems Braces Dental South Africa

Clear aligner systems

Use a series of plastic trays to straighten your teeth. It is virtually invisible and is very popular for adult treatment. Sometimes we might have to do some pre-treatment creating the space needed to move teeth into its ideal position. We will assess your situation and determine if you are a good candidate. If not, we will recommend the most appropriate therapy for you.

Braces Fixed Wire Therapy Dental South Africa

Fixed wire therapy (braces)

Should only be considered once the patient has stopped growing. It has little attachments on all the teeth with a special wire running through it from side to side. Conventional brackets are silver, but there are also more aesthetic clear brackets if deemed necessary.

MYOFUNCTIONAL THERAPY

The fundamental keys to this treatment are obtaining correct nasal breathing, correcting tongue resting position, and retraining the oral muscles to function correctly. 

Along with habit correction, Myobrace® appliances apply light forces to the teeth to assist the teeth to align into their natural position, usually with no need for braces or extractions. The appliances are worn for just 1-2 hours each day, plus overnight while sleeping. A successful treatment outcome requires good patient compliance. 

There are 3-4 stages of appliances that are designed for each dentition, which are specific to that age group. 

Myobrace For Dento Facial Correction

Treatment Goals

  • Correct nasal breathing.
  • Correct function of oro-facial musculature.
  • Correct arch form and tooth alignment.

75% of growing children have malocclusion and incorrect facial development. Soft Tissue Dysfunction is the major cause.

Veneers, Crowns & Bridges

Porcelain Veneers
Veneers are ultra-thin sheets of ceramic that are bonded directly to the front surfaces of teeth. They require very conservative and minimal invasive preparations. Porcelain veneers have become increasingly popular due to their simplicity and versatility and are also highly resistant to coffee, tea or even cigarette stains.
 
Veneers can correct the appearance of:

  • Chips and cracks
  • Broken or misshapen teeth
  • Small gaps
  • Crooked teeth
  • Discolouration
Dental Porcelain Veneers In South Africa

Crowns
Crowns are made of ceramic. This type of restoration is placed when conventional filling materials can not be used or looks unattractive.


Crowns and inlays are used to strengthen teeth by encapsulating the remaining tooth structure. Inlays are also an excellent option to replace old unsightly fillings.

Crown Bridge Work Dentist South Africa

Types of Crowns: 

Full porcelain crown
The entire crown is made up of a solid layer of porcelain for superior aesthetics and life-like characteristics. 

PFM crown
These have a grey metal lining to increase the porcelain strength to compensate for the weaker cementation method. Initially, a new crown’s lining is slightly below the gum line, but as we age or due to inflammation or trauma, our gums may slowly recede and expose this dark edge. 

Zirconia crown
Zirconia is a white metal that has been developed to replace the unsightly grey metal as a substructure where more strength is required, especially for dental bridges.  Recently they have started staining it so that it can be used as a solid layer for crowns that need to be very thin and dental bridges to increase the strength even more.

Dental Crowns Services In South Africa

Dental Bridges
When you have one or more missing teeth, one of the fixed options for filling the gap is a bridge. The teeth next to the gap are preparedfor crowns, an impression is taken and a lab technician will then fabricate a bridge that will be cemented onto the prepared teeth. The bridge will look like three crowns fused together. If the neighbouring teeth are badly decayed or heavily filled, it may be good option, but cutting healthy teeth might seem a little too invasive for many and this is where dental implantsbecome the treatment of choice.

Dental Bridge Service South Africa

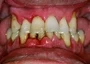
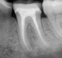
Root Canal Treatment

There are various reasons for root canal treatment namely:

  • Decay in the tooth involving the pulp, nerve and blood vessel
  • Irreversible pulpitis due to trauma or an old leaking restoration
  • Acute pulpitis
  • Fracture into the pulp
  • Re-preparation of an old root canal treatment

The aim of root canal therapy is to remove all the toxins and debris that has formed by bacteria from the canal. The inside of the tooth is cleaned and disinfected so that it is prepared for a root canal filling. The highly qualified and professional dentist carefully files the canals with profile rotating instruments and during this process, we constantly wash the canals and disinfect them. 

Root Canal Treatment Dentists South Africa

Location of the canals are sometimes a challenge. We work with Dental Loupes that gives magnification and digital xrays and apex locators to ensure the best accuracy, 3D xrays are sometimes also indicated to assess the situation. As an added disinfection we use laser energy to kill of the bacteria, this also gives excellent pain relief. After a session of filing and cleaning the canal, and the patient is symptom free, the canal is then filled with a rubber-like material called Gutta-Percha. 

To protect the tooth, we then restore it with a crown or filling. After restoration, the tooth continues to function like any other tooth. This procedure is done with local anaesthetic and can be completely pain free. In some severe septic cases, the anaesthetic may not be very effective and the patient may have discomfort or pain initially but this occurs infrequently. In some cases where the tooth is severely infected a course of antibiotics might be needed.

Dentures

Full Dentures have been around since the time of the Egyptians, while this will restore aesthetics function is compromised as biting force is 20-30% of natural teeth, as even the best fitting denture is on a mobile foundation. This constant movement on the gums leads to resorption(gradual breakdown) of the bone. Dentures will become loose as a result of the gums shrinking and should be evaluated every 3 to 5 years to check the fit, bite and tooth surfaces.


Implant supported dentures are a great solution for the problem we have with removable dentures. Implants create a solid platform to support the dentures. Dentures can be removed and clicked back into place. The dentures can also be fixed on the implants, this would avoid the dreaded teeth next to your bed scenario. For long-term denture wearers, this is revolutionary. It would prevent embarrassing situations smiling or taking and teeth bouncing around or falling out altogether. Function and bite force is sufficiently restored that would aid in pleasurable eating and better digestion. 

Full Dentures Dental Service South Africa

Partial dentures:
Partial dentures can replace one or more missing teeth and we have have been the removable and economical option of choice for decades.

Cast Metal Partial Denture
The cast metal partial denture is the most expensive one, but also the strongest. It is less bulky, smooth and offers the best fit. This type of denture is fabricated using a metal framework with denture teeth attached to it. It usually requires two to three weeks to deliver since the metal frame is made by a specialist laboratory.

Cast Metal Partial Dentures In South Africa

Acrylic Partial Denture
Acrylic partial denture- Acrylic denture was designed to be temporary dentures although people wear them as a permanent denture, they should be replaced as soon as possible with a metal-frame denture.


Although acrylic dentures might be a more cost-effective option, it has its drawback when it comes to longevity, being bulky and brittle. Acrylic partial dentures should be replaced every two years. The material porous and collects odours and bacteria, being detrimental to the remaining teeth. To add more strength there is more material that lends itself to being bulky. A porous, rigid material will be brittle, and dropping the denture or having a good bite on that steak could leave you without a tooth and a redface when enjoying your meal with friends

Acrylic Partial Denture Service In South Africa

Dental Implants

Dental implants are used for replacing missing teeth. Implants are more durable and longer lasting than bridges or partial dentures because they replace both the tooth and the root. A dental implant consists of the implant that is inserted in the jawbone, an abutment, and a porcelain crown.

Benefits

  • Implants restore proper chewing function and so you can enjoy foods previously too "difficult" to eat.
  • You regain the closest thing to the look, feel and function of your natural teeth
  • You can clean and floss normally
  • No fear of caries & sensitivity of teeth No more irritated and painful gums
  • Prevent the shrinking of bone and gums
  • You feel confident that your replacement teeth won’t move or loosen when eating or speaking
  • Last the longest of all the options available for replacing teeth
  • Cutting of natural teeth is avoided
Dental Implants Saves Smile

You are a good candidate if you have good oral health, are generally healthy, have enough bone and you do not smoke (since smoking increases implant rejection and slows the healing process) 


Before placing an implant, it is important that your dentist has done the proper planning required with the final restoration in mind. We make use of a 3D cone beam scan to evaluate the quality and availability of bone to ensure ideal placement of the implant. This enable us to place a quality restoration . Read more about Cone beam technology in our brochure.

Dental Implant To Replace A Single Tooth

Replace a single tooth

Dental Implant To Replace Multiple Teeth

Replace multiple teeth

Implant Provide Retention For Dentures

Provide retention for dentures

TMJ & TMD Treatment

The Tempero-Mandibular joints (TMJ) connect your lower jaw to your skull and are located in front of your ears. They enable you to open and close your mouth and move it from side to side. Tempero-mandibular dysfunction (TMD) refers to improper functioning of these joints, nerves and muscles associated with it. Left untreated, normal joint function will deteriorate and have a negative impact on your health and quality of life.

Symptoms may Include:

  • Constant headaches
  • Muscle pain or tenderness in face, neck or shoulders
  • Earache, chronic ear infections (need for Grommets)
  • Ringing or buzz noise in ears (Tinnitus)
  • Dizziness (Vertigo)
  • Sinus pain & stuffiness
  • Clicking, popping or grating sound when opening or closing the mouth
  • Limited opening of mouth or locking jaw
  • Grinding or clenching your teeth
  • Broken teeth or crowns
  • Numbness in arms or hands and hearing loss
Tmj Tmd Treatments Dentists South Africa

Diagnosis & Treatment

A proper diagnosis is essential in understanding and treating TMD. A comprehensive consultation includes a detailed history, x-rays, photos, impressions and examination of the mouth. Your diagnosis, unique treatment plan and cost estimate will be discussed and explained in detail.


Treatment may vary from symptomatic relief with a splint to comprehensive treatment involving the development of your jaws and changing your bite permanently with TMJ orthodontics. Treatment duration is case-specific, but can range from 6 to 18 months.


Sometimes a team approach is needed in treating all the problems associated with TMD, e.g. physiotherapists, chiropractors, ENT surgeons, etc.


Athletes and sporting professionals can benefit from wearing a Neuromuscular splint or mouthguard because by supporting the jaw in its optimal position results in improved vertebrae alignment, better balance and increased upper body strength. This may increase athletic performance and limit non-contact injuries.

Tmj Tmd Treatments Dentists In South Africa
Tmj Tmd Treatments Dentist In South Africa

Athletes and sporting professionals can benefit from wearing a Neuromuscular splint or mouthguard because by supporting the jaw in its optimal position results in improved vertebrae alignment, better balance and increased upper body strength. This may increase athletic performance and limit non-contact injuries.

Snoring & Sleep Apnea

What causes snoring? 
Snoring occurs when the tissues of the throat are so relaxed or narrowed that air cannot pass normally. This decreases the amount of air to the lungs and the heart has to work harder.  Many, if not all snoring patients should be evaluated for sleep apnoea.


A custom-fitted Mandibular Advancement Appliance (MAA) have been proven to be extremely effective in reducing and eliminating snoring.

Snoring Dental Treatment South Africa

Sleep apnoea is a very serious condition that affects millions of South Africans and people all over the world. It is often over-looked, ignored, tolerated, misdiagnosed and mistreated. It is such a major condition that cause many health concerns if not properly treated.


What is Sleep Apnoea?
Sleep apnoea is a condition that disrupts sleep by causing pauses in breathing that can last anywhere from a few seconds to a few minutes and usually occur 5 to 30 times per hour. Sleep apnoea moves you from a deep, sound sleep to a light, disrupted sleep and is an ongoing condition.

Symptoms Include:

  • Snoring
  • Episodes of stopped breathing
  • Excessive daytime sleepiness
  • Difficulty thinking and concentrating

Types of Sleep Apnoea
The three types of sleep apnoea are central, obstructive, and mixed and are categorized as being mild, moderate or severe

Central Sleep Apnoea Treatment South Africa

With central sleep apnoea, the brain has episodes where it “forgets” to tell the breathing muscles to function. It is the most dangerous type and is extremely rare.

Obstructive Sleep Apnoea Treatment South Africa

Obstructive sleep apnoea(OSA) is the most common type and is caused by a blockage of the airways. The soft tissue in the back of the throat collapses during sleep and causes the blockage. Many times the lower jaw falls open during sleep, drops back and the base of the tongue causes the blockage.

Mixed Sleep Apnoea Treatment South Africa

Mixed sleep apnoea is the third type and is a combination of central and OSA. It starts with a central component that then becomes obstructive. The central sleep apnoea component usually lessens in intensity once the OSA component is treated.

A Health Risk
A patient with sleep apnoea is three to five times more likely to have a heart attack or stroke, and is seven times more likely to die in his or her sleep.


As our population gets increasingly overweight, the percentage of the population that suffers from sleep apnoea increases. But this problem is not confined to middle-aged men who may be carrying some extra weight. Conservative estimates place patients with sleep disorders at 12 percent of the public. These people are shaving years off their lives by adding stress to their heart muscles. But a scarier fact is… they’re endangering all of us. They are constantly tired and are at risk of falling asleep behind the wheel of a car.

Treatment for mild sleep apnoea may involve:

  • Losing weight
  • Stopping smoking
  • Sleeping on your side instead of your back
  • Reducing intake of alcohol and sedative drugs
  • Using nasal decongestants

Moderate to severe cases require a Mandibular Advancement Appliance (MAA) or Continuous positive airway pressure (CPAP) treatment.


CPAP treatment utilizes a mask held in place by straps that is used while you sleep. This mask has small pouches that are inserted into the nostrils to control the amount of air pressure sent into the nose to keep the airways open. This helps control breathing. The mask is connected to a machine that monitors air pressure to reduce and eliminate the episodes of stopped breathing. CPAP also keeps the soft tissue in the back of throat open during sleep.

For many, this may be inconvenient and uncomfortable. Active people who enjoy the outdoors or travel often are not good candidates for CPAP. Luckily, there is an alternative!

We can provide you with a custom made oral appliance (MAA) to fit your mouth and is a great form of treatment for those who suffer from  OSA. This appliance is worn during sleep and helps to keep the soft tissues in the throat from collapsing by moving your lower jaw and tongue a little forward. No machine, no mask!

If you snore or suffer from OSA, please contact one of our offices for a confidential sleep apnoea consultation. Together, we will help you decide what sleep apnoea treatment is best for your condition.

Mandibular Advancement Appliance Dentist South Africa

Oral & Periodontal Surgery

Although it sounds scary, it does not have to be!

We are committed to make every surgical procedure as relaxing and comfortable as possible. If needed, minor procedures can be done with oral sedation and more invasive procedures with intravenous sedation.

Procedures include:

  • Simple and complex tooth extractions
  • Surgical removal of wisdom teeth
  • Placement and exposure of dental implants
  • Frenectomy and elimination of tongue ties
Frenum Surgery Dentist South Africa

Frenum Surgery

Tongue Ties Surgery Dentist South Africa

Tongue Tie Surgey

Periodontal Plastic Surgery Dentist South Africa

Periodontal Plastic surgery - Gingivectomy

Beautiful teeth are but one element of a beautiful smile. The gums frame the teeth and together with the lips, determine the attractiveness of the smile inside the patient’s face. A beautiful smile exists when the teeth, gums, lips and face are in balance and harmony. As part of a comprehensive cosmetic treatment, it is often necessary to reposition or reshape the gums to allow ideal tooth proportions


Connective tissue grafts
When your gums have receded, it often leads to exposed roots which carry the risk of sensitivity and accelerated decay. There are several ways to address this issue, but the preferred method is to replace the area of gum that is missing with a small soft tissue transplant. This is a minor surgical procedure with a minimal amount of risk and a high predictability as far as root coverage is concerned.

Periodontal Treatment

What causes Periodontal disease?
Periodontal (gum and bone) disease is an infection caused by bacteria. In about a days time, mouth bacteria multiply and form a sticky, almost invisible film on the teeth called plaque. Plaque that is not removed by regular brushing and flossing can harden into calculus (tartar). In some cases the plaque and calculus cause the gums to become red and inflamed and may bleed when brushing. This condition is called gingivitis. Over time, toxins in plaque can cause the tooth’s supporting tissue and bone to be destroyed, forming a hidden pocket between the tooth and gum. Your dentist and hygienist will use a special periodontal probe to measure the depth of these hidden pockets. The depth of this pocket (bone loss), in conjunction with other clinical symptoms like bleeding is the main indicator for the presence of periodontitis.

Do you have periodontal disease?
If left untreated, periodontal disease can lead to bleeding, discomfort, receding gums and tooth loss. More than 50% of South Africans 30 years and older have gingivitis and more than 33% have periodontitis. Periodontal disease affects 3 out of 4 people at some point in life.

Why is this important to you?
Dental research has recently linked periodontal disease to an increased rate of heart disease, stroke, diabetes, respiratory disease and pre-term and low-birth weight babies. Routine periodontal examinations and care, as well as proper home hygiene care is the key to maintaining your oral health and preventing serious dental and systemic problems.

Periodontal Disease Treatment South Africa

Treatment of Periodontal disease
Prevention is better than cure! Our dentists, aided by our hygienists, are ready to teach you how to brush and floss properly. This is still the best defense against periodontal disease. A professional cleaning appointment includes a scale and polish and should be done every six months. If you already suffer from periodontal disease, a tailor-made therapeutic program will be created and followed based upon your diagnosis. Unfortunately, once you have had periodontal disease, you will always remain at a higher risk to relapse into the disease again. It is thus imperative that you maintain your health by engaging in our periodontal recall and maintenance program.

PRF (platelet rich fibrin)

PRF is probably one of the most exciting advances in surgery and medicine as a whole. We draw blood, spin it in a centrifuge. Red blood cells are separated from the plasma rich fibrin which is a yellowish colour. PRF can be moulded into membrane or plugs that inserted into the surgical areas.

 

Wikipedia definition:

 

To obtain PRF, the required quantity of blood is drawn quickly into test tubes without an anticoagulant and centrifuged immediately. Blood can be centrifuged using a tabletop centrifuge for at least 10 min at 3000 revolutions per minute. The resultant product consists of the following three layers; topmost layer consisting of platelet-poor plasma, PRF clot in the middle, and red blood cells at the bottom. PRF is available as a fibrin clot. PRF clot can be removed from the test tube using a sterile tweezer-like instrument. After lifting, the RBC layer attached to the PRF clot can be carefully removed using a sterilized scissor.[5] Platelet activation in response to tissue damage occurs during the process of making PRF release several biologically active proteins including; platelet alpha granules, platelet-derived growth factor (PGDF), transforming growth factors β (TGF β), vascular endothelial growth factor (VEGF), and epidermal growth factor.[6] Actually, the platelets and leukocyte cytokines are an important part in role-play of this biomaterial, but the fibrin matrix supporting them is very helpful in constituting the determining elements responsible for the real therapeutic potential of PRF.

Platelet Rich Fibrin Dental South Africa

Soft tissue Laser

Frenectomies, Tongue-tie releases, gingivectomies, depigmentation of gum tissue and disinfection of periodontal pockets can be with a soft tissue laser. What makes this amazing is that there is little to no bleeding when performed with the diode laser. We use the Biolase Epic which works in the ideal wavelength to promote healing at the same time.


We also use our laser for pain therapy which is known as LLLT- low level laser therapy. This can help with acute episodes of MPDS (myofacial pain disfunction syndrome).

Soft Tissue Laser Dental Services In South Africa

Sedation

Oral Sedation
Patients can now choose to have minor dental procedures done using a comfortable, safe and effective system. We use a tablet called Dormicum to help you be relaxed and comfortable while receiving your dental care. It is taken at the surgery about 30 minutes prior to your appointment. The drug has almost no side effects or interactions with other medicines you may currently be taking.

The benefits include an enhanced effectiveness of the anaesthetic, decreased gagging, decreased joint and muscle soreness and also allows more treatment to be done in a shorter time, which could decrease the total number of visits. The medicine has an amnesia quality which for most patients, tends to prevent almost any memory of the visit.

Dental Sedation In South Africa

Intravenous Sedation
This form of sedation is administered by a sedation expert or specialist using proper sleep medicine and you will be sleeping for the duration of the procedure. All your vital signs like blood pressure, heart rate and oxygen levels are constantly being monitored. It is very safe and a lot less invasive than general anaesthesia. This enable us to perform selective surgical procedures like removing wisdom teeth or placing multiple implants, etcin the chair.


We regularly use this technique for children under the age of 7 requiring invasive dental care.
For more information on sedation, visit www.sedationsa.co.za


Botox

What is Botulinum?
It is a solution of natural purified protein that is used in extremely small amounts to relax dynamic wrinkles caused by the contraction of muscles.

How do Botulinum injections work?
Wrinkles and frown lines are the results of muscle activity and contraction. Tiny injections of BOTOX/Dysport are administered very precisely into the muscles, and this blocks the nerve impulses from reaching the area, causing the muscles to relax. As these muscles can no longer contract, the skin is able to relax fully and is smooth and unwrinkled.

With time, frown lines or grooves that were already present before the client started using Botulinum will reduce or disappear completely.

Further frown lines and other wrinkles cannot form in the future.

Botox Service Dentist In South Africa

Is it safe?
Treatment is safe and effective, side effects are minimal and allergic reactions to injections do not occur. Botulinum is actually used in much higher doses to treat migraines and excessive sweating disorders than in cosmetic procedures, and has an extensive medical safety record, having been used for more than 20 years to treat neurological and ophthalmological disorders. It is not recommended during pregnancy or breastfeeding.

Does it hurt?
An extremely fine needle is used so only a mild stinging sensation is experienced during treatment.

What areas can be treated?

  • Forehead lines
  • Frown lines
  • Crow’s feet (creases/wrinkles around the eye)
  • Nasal lines (sides of the nose)
  • Chin Lip lines Gummy smile (smile showing top gum)
  • The downturn of mouth corners
  • Masseter muscles (grinding teeth)
  • Platysma bands (neck)
  • Hyperhidrosis (excessive sweating)
  • Migraine headaches (some cases)
Botox Services In South Africa

What can be expected following treatment?
Effects can take 3 to 10 days to become visible, and will generally last 3 to 4 months. If you decide to discontinue treatment your wrinkles will gradually return to the way they were before treatment.

Can I combine having Botulinum injections with other beauty treatments? (Fillers, Chemical peels, laser resurfacing)
Absolutely, the effect of Botulinum injections can be enhanced when combined with other wrinkle-removing treatments.

Tissue Fillers

Lines (laugh & lip & frown), Wrinkles, Crow’s feet facial remoulding
A variety of tissue fillers, all temporary, are used at the practice. Hyaluronic acid is a crystal-clear gel form, which is a substance that occurs naturally in the body. Hyaluronic acid has the ability to hold water, hydrating and giving volume to the skin.

How is the procedure done?
A clear gel is injected into the skin just beneath the wrinkle, plumping it out. A local anaesthetic can be used, depending on the area. Many people find they need no anaesthetic.
 
The beauty of this procedure is that most patients can return to work immediately after the treatment. Slight bruising may occur, but this should disappear after a week. Numbness and a little redness may also occur but can easily be covered with make-up.

Tissue Filler Service In South Africa

Where can Tissue fillers be used?

  • to smooth out lines and wrinkles
  • to fill in grooves like the naso-labial folds running from the nose to each side of the mouth to fill lines around the mouth and on the top lip (commonly referred to as “smoker’s” lines)
  • to fill in acne scars, deep cuts, chickenpox scars etc.
  • to enhance cheekbones
  • to do a “Liquid Lift”
  • for fuller lips or correction of lip-shape

How long will it take to see results?
Results are seen instantly, but the full effect can take up to one month to show.

What is the difference between BOTOX and Tissue Fillers?
BOTOX paralyses the muscle, releasing the wrinkles and stopping them from forming in the future, whilst Tissue fillers plump up and fill the existing wrinkles.

Using this site means you accept its terms | Copyright © 2025 Dentists At Health, Graaf-Reinet, South Africa
Powered by Webpro | Created by IT Design
Top
Who doesn't like cookies?
This website uses cookies to ensure you get the best experience. Read more...